Porcelain Veneers in Pearland, TX
Get your dream smile with personalized veneers crafted by an experienced dentist.

Smile Brighter with Custom Porcelain Veneers
Do you hide your smile because of minor imperfections? Your smile can boost your confidence, and porcelain veneers can help you love the way you look again.

At Designer Smiles Family Dentistry in Pearland, TX, we offer affordable porcelain veneers to help you achieve a beautiful, natural-looking smile. Our skilled cosmetic dentists use veneers to cover chips, gaps, stains, and uneven teeth—giving you a fresh, confident look in just a few visits. Whether you want to fix a chipped tooth or close small gaps, we’ll create a custom solution just for you. Let us help you love your smile again!
- Covers chips, gaps, and stains
- Natural-looking, bright smile
- Custom-fit for your teeth
- Quick, minimally invasive procedure
- Long-lasting, durable results

What are Dental Veneers?

Dental veneers are thin, custom-made shells that are bonded to the front of your teeth to enhance their appearance. They’re designed to correct a variety of cosmetic concerns such as chips, cracks, gaps, discoloration, or misshapen teeth. Veneers are typically made from durable porcelain or composite resin materials that closely mimic the look and feel of natural enamel.
Porcelain veneers are especially popular because they resist stains and reflect light just like natural teeth, giving you a bright and natural-looking smile. The process usually involves minimal tooth preparation and can dramatically improve your smile in just a couple of visits.
Whether you want to fix a single tooth or completely transform your smile, dental veneers offer a long-lasting, comfortable, and aesthetically pleasing solution.

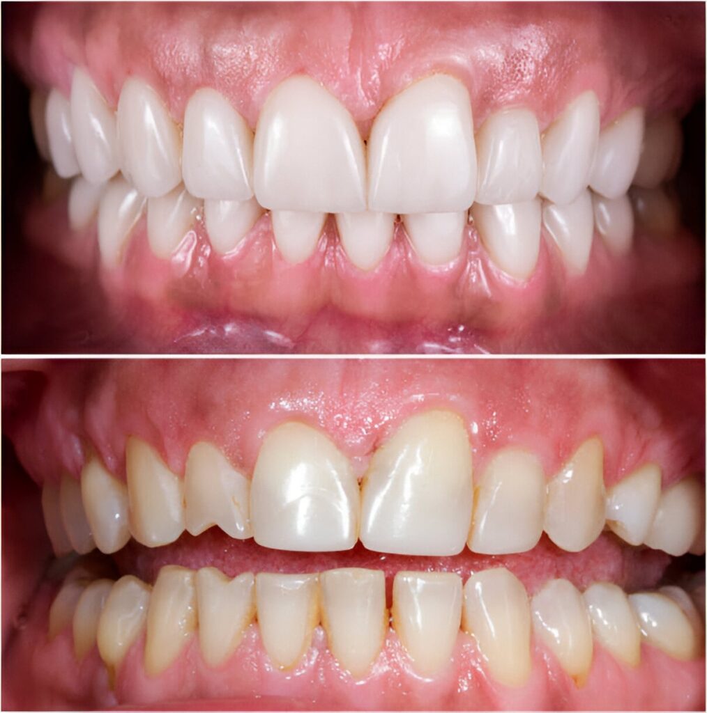
Veneers: Before and After Results



The Procedure for Porcelain Veneers
Getting porcelain veneers at our office is a simple and comfortable process that usually takes a few visits. Here’s what you can expect:

Step 1: Initial Consultation
During your first visit, we’ll talk about your smile goals and see if porcelain veneers are the right choice for you. We may take X-rays or impressions of your teeth to create a personalized treatment plan.
Step 2: Tooth Preparation
To make room for the veneers, a very small layer of enamel is gently removed from the front of your teeth. Then, we’ll take impressions of your prepared teeth and send them to a dental lab where your custom veneers are made.
Step 3: Temporary Veneers
Step 4: Fitting and Bonding
Once your custom veneers are ready, you’ll return for the final fitting. We’ll check the shape, color, and fit to ensure they look and feel perfect. Then, the veneers are permanently bonded to your teeth with a strong adhesive, and a special light is used to harden it instantly.
Step 4: Final Adjustments and Polishing
After the veneers are securely in place, our dentist will make any small adjustments for comfort and polish them for a smooth, natural-looking finish.
Aftercare for Porcelain Veneers
Caring for your new veneers is easy. Brush and floss daily, and visit our office regularly for checkups and cleanings. Avoid biting on hard objects like ice or pens to keep your veneers in great shape. With proper care, your porcelain veneers can keep your smile bright and beautiful for many years. Whether you’re covering chips, closing gaps, or simply enhancing your smile, our team will guide you every step of the way.
Why Choose Designer Smiles Family Dentistry for Porcelain Veneers?
Experienced Team
Our cosmetic dentists have years of experience creating beautiful smiles with porcelain veneers. If you’re looking for a trusted dentist in Pearland, TX, we’re here to help.
Advanced Technology
We use modern techniques and high-quality materials to ensure precise, comfortable, and long-lasting results.
Personalized Care
Every smile is unique, so we create a treatment plan that fits your needs and enhances your natural features.
Comfortable Environment
We make sure your visit is as relaxing and pleasant as possible, with gentle care focused on your comfort.
Dental Veneer Frequently Asked Questions
What are dental veneers made of?
Dental veneers are usually made from porcelain or composite resin. Porcelain is durable, stain-resistant, and looks very natural.
Can veneers fix gaps or crooked teeth?
Yes, veneers can close small gaps and improve the appearance of slightly misaligned teeth, giving you a straighter-looking smile.
How long do veneers last?
With proper care, porcelain veneers can last 10–15 years or longer. Regular dental checkups and good oral hygiene help maintain them.
How many visits are needed for veneers?
Typically, veneers are completed in 2–3 visits: one for consultation and tooth preparation, one for fitting temporary veneers, and one for bonding the final veneers.
Does getting veneers hurt?
Most patients experience little to no discomfort. A small amount of enamel is removed, and local anesthesia can be used if needed.
How much do dental veneers cost?
The cost varies depending on the number of veneers and materials used. A dentist can provide a personalized estimate during your consultation.